Understanding Common Orthodontic Problems

Orthodontic issues affect nearly everyone at some point. Rarely are teeth naturally perfect. Misaligned bites, known as malocclusions, can impact more than just your smile. A bad bite can affect chewing, speaking, oral hygiene, and overall dental health. These issues can be inherited, or they may result from thumb sucking, dental disease, poor oral hygiene, accidents, birth defects, or other medical conditions.

Dr. Oscar Reyna-Blanco provides personalized orthodontic care to correct these problems for children, teens, and adults. Understanding the type of orthodontic problem you or your child may have is the first step toward a healthier, straighter smile.

Below, we explain some of the most common orthodontic issues and how they can affect your teeth and bite.
Protrusion Studio City Orthodontist in Studio City, CA

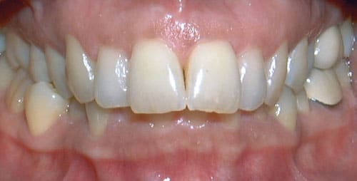
Upper Front Teeth Protrusion

When the upper front teeth extend too far forward, or the lower teeth do not meet the upper teeth properly, it is called an upper front tooth protrusion. This can affect appearance and make the teeth more vulnerable to injury. Early detection allows us to create a treatment plan that protects both function and aesthetics.

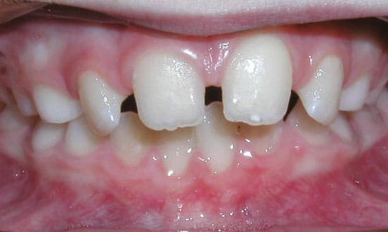
Overbite Studio City Orthodontist in Studio City, CA

Overbite

An overbite occurs when the upper front teeth overlap the lower teeth significantly. In severe cases, the lower teeth may even bite into the roof of the mouth. Overbites can cause jaw discomfort, wear on the teeth, and increased risk of gum irritation, making orthodontic intervention essential for long-term oral health.

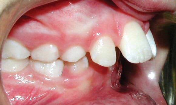
Crossbite Studio City Orthodontist in Studio City, CA

Crossbite

A crossbite happens when the upper teeth sit inside the lower teeth rather than outside. This can lead to misaligned jaw growth, uneven tooth wear, and difficulty chewing properly. Correcting a crossbite early can prevent long-term skeletal issues and improve overall bite function.

Open Bite Studio City Orthodontist in Studio City, CA

Open Bite

With an open bite, the upper and lower front teeth do not meet when the mouth is closed. This makes biting and chewing more challenging and may contribute to habits such as tongue thrusting or speech difficulties. Orthodontic treatment can correct this and improve both function and appearance.

Crowding Studio City Orthodontist in Studio City, CA

Crowding

Crowding occurs when teeth do not have enough space to erupt correctly. This often results in overlapping or rotated teeth. In many cases, crowding can be corrected through jaw expansion, sometimes avoiding the need for tooth extractions. Proper treatment ensures a healthy bite and easier oral hygiene.

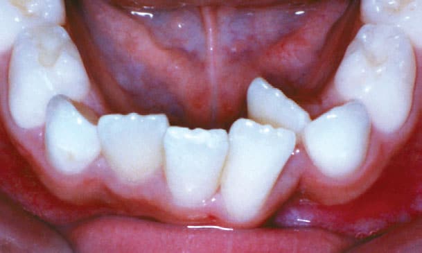
Spacing Studio City Orthodontist in Studio City, CA

Spacing

Spacing issues appear as gaps between teeth. These may result from missing teeth, small teeth, or extra space in the jaw. While some spacing concerns are mainly cosmetic, untreated gaps can impact bite function, speech, and overall dental health.

Underbite Studio City Orthodontist in Studio City, CA

Underbite

An underbite occurs when the lower jaw protrudes forward, causing the lower front teeth to sit in front of the upper front teeth. This can create chewing difficulties, jaw stress, and long-term wear on the teeth. Orthodontic intervention can reposition the jaw and teeth to restore proper function.

Common Orthodontic Problems Studio City Orthodontist in Studio City, CA
Studio City Orthodontist in Studio City, CA
Studio City Orthodontist in Studio City, CA